Neuro Emotional Technique (NET)
NET is a holistic therapy, designed for all ages, to address the emotional and neurological roots of both physical and emotional health challenges.
It is based on the principle that unresolved emotional stress can contribute to physical symptoms and chronic conditions. This approach explores the connection between emotional stress and physical health, integrating insights from traditional medicine, neurology, and psychology.
Muscle testing and conversation are used to identify emotional stressors impacting your well-being. This technique will help remove emotional blocks and restore balance. Rather than simply addressing symptoms, NET aims to uncover and resolve underlying issues, promoting a deeper sense of emotional and physical harmony.
Here are some areas it can help with:
- Stress
- Anxiety
- Chronic pain
- TMJ
- Addictions
- Limiting Beliefs
- Recurring nightmares
- PTSD
- Emotional triggers
- Obsessive Compulsive Disease (OCD)
- and much more!
By gently working through both emotional and physical aspects, NET provides lasting relief and helps you achieve true healing.
Take the NET Wellness Assessment
Discover where your body and mind may need support.
Learn more about Neuro Emotional Technique (NET) by watching the documentary "Stressed." It provides a clear explanation of how NET works and highlights its effects on stress responses in cancer patients. The film includes real-life experiences and expert insights, showing how NET can support health and healing.
We encourage you to watch and see how NET might benefit you and your family.
Research
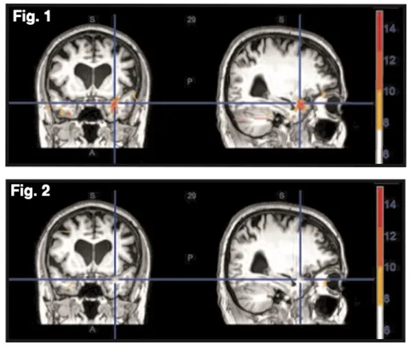
Before & After: NET’s Impact on the Brain’s Stress Center
There is now quantifiable evidence as to ‘why’ patients feel better when treated with NET, and the dramatic pre- and post- treatment changes can be seen in fMRI brain images.
A recently published study examined the effects of NET on brain physiology in patients experiencing stress symptoms.
Balancing the Nervous System with NET
According to a study published in October 2017 titled “Changes in Cerebellar Functional Connectivity and Autonomic Regulation”, researchers found that:
“For the first time, a treatment for traumatic stress was shown to alter cerebellar connectivity with limbic structures and the brainstem. These changes were linked to reduced symptoms and decreased autonomic reactivity (such as heart rate) in response to traumatic stimuli.”
Proven Relief for Pain and Emotional Stress
A recent study found that women with chronic pelvic pain who received Neuro Emotional Technique (NET) experienced significant improvements in pain intensity, pain interference, anxiety, and depression compared to a control group. Brain scans showed NET altered connectivity in regions linked to pain and emotional processing—suggesting NET may help rewire how the body responds to chronic stress.


